Welcome
Wir begrüßen Sie herzlich auf unserer Website!
Auf dieser Website können Sie sich zu der seltenen chronisch-progredienten Erkrankung: Morbus Dercum dolorosa informieren.
Nach WHO-Klassifikation ICD-10-GM unter E88.- Sonstige Stoffwechselstörungen, andernorts nicht klassifiziert (u.a. auch möglich als E88.2 Lipomatose, andernorts nicht klassifiziert).
Hier versuchen wir Sie mit sachgerechten Informationen über das unerforschte, sehr seltene, chronisch-progrediente Erkrankungsbild - dieser Stoffwechselerkrankung des Fettstoffwechsels - zu informieren.
Aus diesen Gründen ist diese unerforschte unheilbare Erkrankung mit ihren vielfältigen Erscheinungsformen deshalb bisher nur allgmein mit dem WHO CD-10-GM-2020 E88.2 - Lipomatose andernorts nicht klassifiziert, eingeordnet worden (kein Lymphödem "I89.0-" wie gleichwohl auch keine lokalisierte schmerzhafte Lipohypertrophie "E65").
Aktuell jedoch ist hier offenkundig nunmehr eine weitere Spezifizierung mit dem WHO ICD-10-GM-2020 E88.29 - Sonstige Lipomatose, anderenorts nicht klassifiziert,
inkl. - Lipomatosis o.n.A., - Lipomatosis dolorosa [Dercum-Krankheit],
erfolgt.
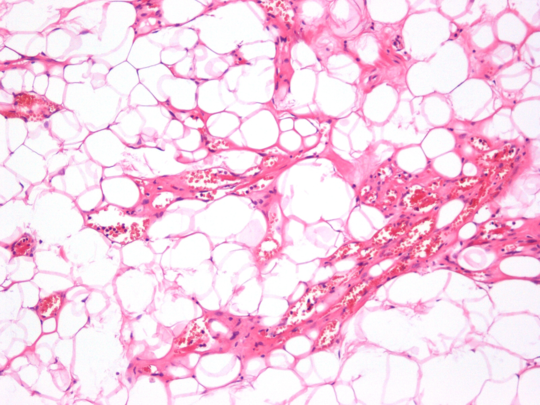
Entartete Form - Typ III mit dem pathologischer Befund: Angiolipom, mit raumfordernden Geschwulstbildungen (folglich so Zerstörung es gesunden Körpergewebes), also schwerem Verlauf.
Allgemein zählt diese Erkrankung, in der Bundesrepublik Deutschland, zu den sogenannten "seltenen chronischen Erkrankungen" mit einem progredienten Verlauf. In der Europäischen Union (EU) gilt eine Erkrankung als selten wenn nicht mehr als 5 von 10.000 Menschen von ihr betroffen sind.
Der Verlauf dieser seltenen Erkrankung ist entsprechend klinischer Studien aus den USA und den nordischen Ländern Europas (Dänemark, Schweden, Norwegen, Großbritannien u.a.) chronisch-progredient.
Medizinisch-klinische Grundlagenforschungen wurde hierzu vom Department of Medicin, University of California (UoC), San Diego, Institut of Endocrinology, Diabetes and Metabolic Diseases, unter der Leitung von Frau Prof. MD. PhD Karen L. Herbst, geführt - wo leider noch keine Ergebnisse diesseits vorliegen.
Nach derzeitigem Erkenntnisstand und weltweiten Recherchen sind leider keine Behandlungsmöglichkeiten der Erkrankung bekannt.
Wie Obermedizinalrat (OMR) Prof. Dr.med. Dr.h.c. Helmut Wolff hier im Jahr 2014 feststellte, ist bei diesem Erkrankungsbild eine dringende interdisziplinäre neurologisch, endokrinologisch, immunologisch, chirurgisch- / neurochirurgisch,orthopädisch fachärztlich-klinische Behandlung unabdingbar angezeigt, was letzendlich bedeutet, daß letztendlich alle Fachrichtungen der Medizin bei diesem Erkrankungsbild einzubeziehen sind.
Auch mit modernsten bildgebende Untersuchungen, wie beispielsweise durch Magnetresonanztomographie (MRT), lassen sich diese spezifische Erscheinungsform der Tumore nicht darstellen, da keine Differenzierungen der Tumore vom umgebvenden Gewebe und Gewebsstrukturen radiologisch mit MRT möglich sind; somit sind Raumforderungen und deren schädigende Folgen hierdurch nicht nachweisbar.
Einzig mittels nuklearmedizinischer Diagnostik durch PET-CT (Positronenemissionstomographie "PET" und Computertomographie "CT") lassen sich Aktivitäten der Tumoren, Tumormassen und Tumorneubildungen darstellen. Dabei sind aber mit dem Patienten die nicht unbeträchtlichen Nebenwirkungen der hohen Strahlendosen der Comutertomographie (CT) in Verbindung mit den in Kombination dazu eingesetzten radioaktiven Isotope (Markersubstanzen) unbedingt vorher umfassend durch die Fachärzte für Radiologie abzuklären - und dieses dann nur mit ausdrücklichem vorherigen Einverständnis des Patienten, danach dann anzuwenden ist.
Leider gehört inzwischen diese mögliche, einzig sinnvolle Diagnostik des PET-CT bei diesem seltenen,
unerforschten Krankheitsbild inzwischen nicht mehr zu den von den gesetzlichen Krankenkassen (GKV) übernommenen Leistungen. Damit ist diese mögliche, diagnostisch sinnvolle Untersuchung also
gleichwohl in den vergangenen Jahren - für eine ausschließliche Wirtschaftlichkeitsoptimierung im Systemder GKV - zusammengestrichen worden.
Mit besten Wünschen und weniger Schmerzen
H. Salomon